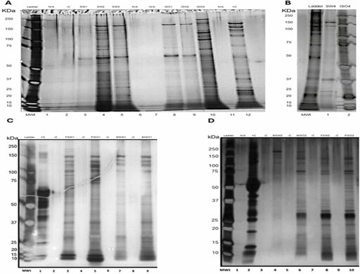
A first-of-its-kind University of Stirling study could better inform strategies to control salmon lice, after researchers uncovered major differences in the secretions the parasite produces as larvae. Like other parasites, such as mosquitoes and ticks, salmon lice secrete substances from their glands which make it easier for them to feed or evade their host’s immune system.
From Biology News - Evolution, Cell theory, Gene theory, Microbiology, Biotechnology via This RSS Feed.
You must log in or # to comment.


